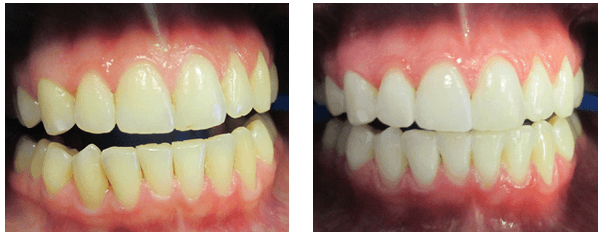
A bright, white smile can boost your confidence and enhance your overall appearance—but not all whitening solutions are created equal.

At Lilly Family Dentistry, we offer professional teeth whitening options that go beyond what you’ll find in a store aisle. While over-the-counter products can offer results, they often lack the strength, precision, and long-term benefits of professional care. Professional whitening treatments are tailored to your specific needs, whether you’re looking to remove years of staining or just brighten up before a big event, we have solutions designed for comfort, safety, and noticeable results.
Why choose professional whitening?
Stronger Results
Professional-grade products whiten teeth more effectively and in less time.
Customized Treatment
We evaluate your smile and recommend options based on your unique needs.
Longer-Lasting Effects
With proper care, professional whitening tends to maintain its brightness longer.
Each of our offices provides its own whitening options—designed for your comfort and results. Contact your local Lilly Family Dentistry office to learn more about the whitening options they offer. Please, click here, to find the location nearest you. They’ll be happy help you take the next step toward a whiter smile.
Explore our Dental Services
Visit Lilly Family Dentistry
Dentist Sioux City

Lilly Family Dentistry
2100 Indian Hills Drive,
Sioux City, IA 51104
(712) 239-5125
Our Dental News
Dentist Sioux City
Pediatric & Family Dentistry: Care for All Ages – Why Choose Us For This
Pediatric and family dentistry encompasses comprehensive oral care that meets the unique needs of every family member, from the youngest children to adults. At Lilly Family Dentistry, located at 2100 Indian Hills Dr, Sioux City, IA 51104, the team specializes […]
Learn MoreTooth-Colored vs. Amalgam Fillings: Pros and Cons
Understanding the differences between tooth-colored fillings and amalgam fillings is essential for making informed choices about dental care. At Lilly Family Dentistry, the focus is on providing comprehensive general dentistry services tailored to individual needs. When it comes to fillings, […]
Learn MoreMaintaining Dental Restorations: Crowns, Bridges, Implants – Why Choose Us For This
Dental restorations such as crowns, bridges, and implants play a vital role in ensuring both functional and aesthetic benefits. Providing a long-lasting solution for tooth loss and damage, maintaining these restorations is essential for optimal oral health. Lilly Family Dentistry, […]
Learn More
